THE BENEFITS OF CHEWING GUM

I’ve heard that chewing gum after eating can help prevent fillings.  Is this true, and if so how?

As long as it is sugar-free, yes, chewing gum can help to maintain a healthy mouth.  This is because it helps to boost saliva flow, helps to wash away food remnants, bacteria and plague, neutralising harmful acids and so helping to reduce decay.  According to gum manufacturers, Wrigleys, 80% of dentists now recommend chewing sugar-free gum after meals

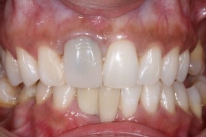
Discoloured Teeth and Crown

 

 

This young lady from Harrow was very unhappy with her discoloured teeth and front crown.

Dr Dixit recommended bleaching her teeth using the teeth whitening system and her front crown was then replaced to match her new colour.

Treatment was very effective and the patient is now a lot happier with her smile.

TASTE BUDS

Our taste buds are part of our defence mechanisms. They warn us if we are eating something that could make us ill.

Bitter fruits, for example are often poisonous, while sour fruits tend to be unripe, and therefore acidic and hard to digest.

Be In The Know

Elizabeth I had to have all her teeth removed, apparently because of her love  of sweets.  Once they were removed, she refused to appear in public without padding out her mouth with wads of cotton to maintain a more normal, younger-looking face shape

It’s A Grind!

Around eight to ten per cent of the UK population are regular tooth grinders.  The medical term for teeth grinding is Bruxism.

It can occur during the day when people are anxious or concentrating on a difficult task, but usually occurs during sleep and many people are not aware that they do it, according to the Bruxism Association.

Bruxism can cause an aching jaw, headaches, earache and disrupted sleep.  It can also leave people with worn and broken teeth and inflamed and receding gums. 

Teeth grinding can affect people of all ages but is most common in 25 to 44yr olds.  It may be a side-effect of medication or be associated with depression, anxiety or drug abuse.

Tooth grinding cannot be cured but it can be controlled with small plastic mouth guards known as Occlusal Splints.  These protect the teeth from wear and reduce jaw movement and noise.  Relaxation techniques such as meditation and hypnotherapy have been found to be effective in some people.

extract from: THE MAGAZINE FOR PROFESSIONAL ASSISTANTS

TOOTHPICKS

Some scientists believe that humans were using toothpicks 1.8 million years ago.  Curved grooves found on many ancient teeth are said to indicate that they used grass stalks to clean between their teeth.