Blue Court Dental Centre is proud to offer this revolutionary new treatment called Six Month Smiles. In addition to our other cosmetic dentistry treatments six month smiles allows us to rapidly moved teeth into a straighter alignment in around six months, it’s one of those products that does exactly what it says on the tin!
What are the advantages of Six Month Smiles?
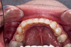
this treatment uses the best of all modern techniques, traditional train track braces with metal wires and metal brackets are very functional and work exceptionally well, however many patients dislike their cosmetic appeal. Six Month Smiles takes the functional aspect of these braces and applies a modern twist (pardon the pun) by providing clear brackets and tooth coloured wires to ensure that the treatment is barely noticeable.
Six Month Smiles has the following innovative advantages:
- Rapid treatment, typically faster than any other orthodontic system.
- Trademarked Six Month Smiles clear brackets and tooth coloured wires to ensure your orthodontics is almost invisible.
- Our revolutionary patient tray kits ensure your appointments are fast and comfortable.
- The revolutionary way that the braces work means they are more comfortable and have shorter treatment times.
- All of this put together means these orthodontic braces are typically less expensive than traditional braces, invisible aligners or dental veneers.
Who can have orthodontics with Six Month Smiles?
Traditionally orthodontics has only been available to young children whilst their teeth and jaws are developing. This modern treatment is however, available for adults. This means that if you did not have your teeth straightened with orthodontics when you were younger, or your teeth have moved since having orthodontics then there is now a suitable alternative for you. Many people find that these braces suit their lifestyle is perfectly, without feeling self-conscious or embarrassed by the fact that they are wearing orthodontic braces.
If you are interested in finding out more about your suitability for the Six Month Smile treatment in Harrow, then we offer a free consultation. You can download a voucher for this free consultation by visiting the relevant page on our website.












