On the Invisalign GDP Advisory Board
Email us today info@bluecourtdental.com
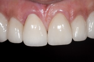
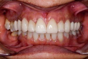
Dental Blog posts, information and advice which mention Tooth movement