Tag: Inman Aligner

Blog posts, information and advice which mention Inman aligner

What are my options for straight teeth quickly?

With such busy and hectic lives we know how things can often be overlooked, perhaps you are getting married and have just realised you’re not happy with your smile? Perhaps you have a big birthday or other celebration coming up and have suddenly realised you need to look good for the photos?

Depending upon how long you have got there are a few options available to get fast results, let’s take a look.

Quick correction of mildly crooked teeth

If you have just a single tooth which is mildly rotated or twisted or perhaps even a couple of front teeth then this can often be corrected with dental bonding. Dental bonding is where your dentist as a small amount of tooth coloured composite material to the visible part of your tooth, this material can be built up to make your teeth look straight.

Dental bonding to correct mild crooked teeth

How quickly can I have straight teeth with dental bonding?

The process is done with you sitting in the dental chair and can take anywhere from 45 min up to a few hours, depending upon the number of teeth you want straight. For fast results, dental bonding certainly beats every other form of straight teeth treatment but it is only suitable for correcting very mildly crooked teeth.

Quick correction of moderately crooked teeth

If you have moderately crooked teeth, in other words, a few teeth which are quite crooked or many crooked teeth then dental bonding is a possibility as are veneers and orthodontics.

Dental veneers work on the same principle as bonding, they cover the surface of your tooth, leaving your natural tooth where it is and simply building out areas of your tooth to make it look straight. Dental veneers are more permanent than dental bonding and will last longer. A big advantage with dental veneers is that you are able to have instant straight white teeth as the veneers can be made any colour and as white as you like.

Moderately crooked teeth can also be straightened quickly using Invisalign Go.  This is a clear removable brace which moves teeth rapidly compared to other orthodontic systems. The Inman aligner is also a system able to straighten moderately crooked teeth rapidly. The Inman aligner works by simultaneously pushing and pulling teeth on different parts using a revolutionary new spring system.

How quickly can I have straight teeth with Inman aligner?

Typical treatment times are between 12 and 16 weeks, assuming you only have moderately crooked front teeth.

How quickly can I have straight teeth with Invisalign Go?

Typical treatment times range from approximately 4 to 7 months, assuming you only want the front teeth straightened.

How quickly can I have straight teeth with dental veneers?

From start to finish we recommend allowing at least four weeks. This will give you time to have a consultation with the dentist, have some initial diagnostics done to work out the final shape of your teeth and then have the teeth prepared by the dentist and veneers made by the technician.

Quick correction of severely crooked teeth

Severely crooked teeth will almost certainly require extended treatment with orthodontics. Whilst bonding and veneers are excellent at straightening rotated teeth, if the body of the tooth is not in the correct position then orthodontics will most likely be the best option. There are orthodontic systems to give fast results however these generally only work on the top or bottom front teeth. If you need other teeth to be moved as well then more complex orthodontics maybe your best option.

Orthodontic systems such as Invisalign and Six Month Smiles are ideal options to straighten more severely crooked teeth.

How quickly can I have straight teeth with Invisalign?

Typical treatments with Invisalign take between 12 and 24 months, depending upon the severity of your crooked teeth.

Summary

There’s no one size fits all solution to having straight teeth quickly, it depends upon your clinical situation and budget, the best way to find out which technique is best for you is to visit your dentist for an initial consultation.

Dr Nishan Dixit
Latest posts by Dr Nishan Dixit (see all)

 

 

I’m not happy with my smile, what are my options for cosmetic dentistry?

We find that many people are looking for options to restore their smile but simply don’t know what those options are. This blog post has been written to allow you to understand what the options are available, possible prices, the procedures and what to expect from cosmetic dentistry.

Cosmetic dentistry is broadly broken down into 4 main areas.

  1. Straightening crooked teeth.
  2. Whitening dark teeth.
  3. Restoring broken down teeth.
  4. Replacing missing teeth.

Let’s look at each of these areas in turn.

Options to straighten crooked teeth.

As with many areas of dentistry there is in one simple way of doing this, which actually works as an advantage as it means that you can choose the best approach for you. We thought one of the easiest ways to break these treatments down Is to look at treatment time is and how quick you could have straight teeth again.

Straight teeth in around 2 to 3 weeks

If you’re looking to have straight teeth in the quickest time possible them possibly dental veneers are the way forwards. Dental veneers are a precision made thin-layer which fit over the surface of your existing teeth. They made from a high-strength dental ceramic by a highly skilled dental technician and so often come with a higher pricetag than many other options.

Dental veneers can also be used to restore broken down teeth and whiten dark teeth, so at the same time straightening them you could end up with a perfect Hollywood smile at the same time!

teeth-veneers

One of the big disadvantages with dental veneers are that they often require some form of reduction of your natural teeth underneath. Many dentists prefer to work on a minimally invasive nature, whilst dental veneers are relatively minimally invasive they do still often require drilling of your natural tooth.

If your natural tooth is otherwise healthy then you need to know that some of this may be reduced in order to accept the new dental veneer.

Before cosmetic dentistry from our Harrow dentists
Before dental veneers
After cosmetic dentistry
After dental veneers

>> Read more blog posts about dental veneers

>> Information from the British Academy of Cosmetic Dentistry about dental veneers

Straighter teeth in around 12 to 16 weeks

One of the disadvantages of dental veneers is the fact that they often require a small amount of reduction of your natural tooth. Whenever possible we prefer to keep your natural teeth fully intact and so this is where the next treatment to straighten teeth comes in, it involves moving them with orthodontics and the technique which is fastest is known as the Inman Aligner.

The Inman aligner is a revolutionary new technique whereby a removable orthodontic appliance is used to push and pull your teeth in the correct direction. You need to be committed with your Inman aligner and wear it for at least 20 hours per day, removing it only for cleaning and eating.

Here’s a video of how the Inman aligner works by pushing and pulling at the same time.

>> more information on the Inman aligner

Straight teeth in around six months.

Many people dislike the fact that the Inman aligner, whilst being rapid, is a removable appliance. Some people prefer to have a fixed appliance. Fixed appliance orthodontics are generally able to move teeth slightly more than a removable appliance and the one that we prefer is Six Month Smiles.

This orthodontic system uses fixed, tooth coloured brackets to move your teeth around six months, this is much faster than conventional orthodontics which often takes between one and two years. The reason we can move the teeth quicker is down to a revolutionary type of bracket and the fact that we are often only moving the front teeth.

 

Before Six Month Smiles

 

After Six Month Smiles

>> more information on Six Month Smiles

 Cosmetic dentistry to whiten dark teeth

You have two options to whiten dark teeth:

  1. Teeth whitening.
  2. Dental veneers.

Teeth whitening and cosmetic dentistry

Teeth whitening is one of the most easily accessible treatments in dentistry as it can be offered to almost anyone. So long as you have natural teeth (dental veneers or crowns cannot be whitened) and you are in good dental health then you are more than likely candidate of teeth whitening.

As with any dental treatment it is absolutely vital that you are in good dental health before embarking on any programme of whitening. This is one of the reasons it is important to visit your dental practice to have your whitening treatment, if your gums are unhealthy or perhaps bleed on contact then this can affect the whitening process and inflame any gum disease you may already have.

The clear teeth whitening tray
The clear teeth whitening tray

Teeth whitening works by placing a small amount of peroxide gel in contact with your teeth. This peroxide whitening gel is held in place by close-fitting and precision made bleaching tray which is the spoke to you and cannot be used with anybody else. These trays need to be made with absolute precision.

They need to seal around the age of your tooth/gum margin to ensure that none of the peroxide gel touches your sensitive gums. This is another reason why we recommend going to see your dentist for whitening, they can accurately make sure that this tray fits precisely prior to beginning any treatment.

You will typically wear your teeth whitening bleaching trays overnight for approximately 2 weeks. The good thing with the treatment is that if you experience too much sensitivity or you reach your desired tooth colour then you can stop treatment immediately.

Dental veneers for whitening teeth

If your teeth are extremely dark, perhaps because they have died then we may find that whitening is not adequate to get them to the shade required. If this is the case then dental veneers can be used to cover up the dark teeth underneath.

Before restoration with veneers to whiten teeth

 

After restoration with dental veneers

Restoring broken down teeth in cosmetic dentistry

We’ve already discussed the ability for dental veneers to straighten crooked teeth and white and dark teeth, they can also be used to restore broken down teeth. Because we’ve already spoken about dental veneers we’re going to focus our attention now on dental crowns.

Dental crownsA dental crown is a precision made and highly aesthetic replacement for the natural crown of your tooth. The most aesthetic ones are made from pure high-strength dental great ceramic which is extremely long lasting and can withstand the force is exerted when you eat and chew.

Your dentist will remove any decayed area of tooth, prepare the remaining teeth and take an impression which will be sent off to the dental technician. The dental technician, who was a highly skilled member of the dental team will then make your new crown to fit exactly over the stump which the dentist has prepared.

This whole process takes approximately 2 weeks from start to finish, was the technician is making a new crown you will be supplied with a temporary crown.

Replacing missing teeth in cosmetic dentistry

We’ve written blog post in the past offering top tips for people wanting to replace missing teeth, so we’re not going to spend too much time here talking about this. What is important to know is that replacing missing teeth can also be done in conjunction with other forms of cosmetic dentistry.

If you have missing tooth it may be that in order to replace it we need to create more space, if this is true then we may use orthodontics to move the surrounding teeth around to create enough space. You may also want to restore broken down teeth and white and other teeth at the same time as replacing missing teeth. This then becomes a more complex form of cosmetic dentistry with complicated procedures.

If you’re going to have these more complex procedures we recommend you search for your cosmetic dentist on the British Academy of Cosmetic Dentistry website, in the search facility if you type in Nishan Dixit and enter the area as Harrow you will find that he is a full member of the Academy who has been qualified for more than three years, demonstrated a commitment cosmetic dentistry by fulfilling their strict requirements which include attendance at meetings and ongoing postgraduate education in subjects relevant to the practice of cosmetic dentistry.

================

Dr Nishan Dixit runs a dental practice in the heart of Harrow offering cosmetic dentistry  to the local people. The practice offers a free cosmetic dentistry consultation with the treatment co-ordinator, please complete the relevant form here 

 

Why You Should Have Straight Teeth, This Might Surprise You.

Presentation1One of the main reasons people decide to have orthodontic braces to get straighter teeth is because straight teeth look better, but from a purely dental and health point of view this is not the main reason you should consider straighter teeth. Did you know that straight teeth are easier to clean? And being easier to clean means they are healthier…

Irritable Bowl Disease

Recent research has shown a link between oral bacteria and a flareup of irritable bowel disease, The research identified that the bacteria invaded the bloodstream which then aggravated any existing irritable bowel causing the flareup, these bacteria are commonly found in the mouth! This research is linked to additional research which shows that the bacteria associated with gum disease and the more severe periodontitis can act as a keystone bacteria, this means their presence can instigate other processes and pathogens in the human body which can lead to Colon cancer and other inflammatory diseases.

So it’s clear that not only will keeping your teeth clean ensure that your teeth are healthy, it also helps to promote overall body health… So where do straight teeth fit in?

Straighter teeth are far easier to clean as you can get into those difficult to reach areas between your teeth. If your teeth are crooked or overlapping then it is harder to reach these areas, particularly with floss. This can lead to a buildup of these harmful bacteria which could eventually lead to the onset of other inflammatory diseases around the body.

So now that you know the importance of straighter teeth, let’s look at some of your options if you decide to have braces.

Option 1: Cfast

cfast Orthodontic braces with clear brackets and tooth coloured wiresCFast is one of the most modern option for orthodontic braces in our Harrow dental practice. These braces is a combination of tooth coloured wires and clear brackets to straighten the front 6 teeth on the top and bottom jaw only.

Because we are only straightening these front teeth we can move them much faster than standard braces which may also be moving the back teeth also. This makes CFast excellent for cosmetic orthodontics and also helps to straighten the teeth making them easier to clean.

 

 

 

Option 2: Six Month Smiles

Six Month Smiles is is one of those orthodontic systems which does exactly what it says on the tin, straighter teeth in approximately 6 months!

Before and after six month smiles

Once again, this is the modern alternative to classic train track braces and works with a trademarked clear bracket which is bonded due tooth.

These brackets are barely visible and are able to achieve a predictable result using low forces with short overall treatment times which means the treatment is more comfortable, safe and allows you to keep your teeth cleaner, which is great if your overall body health.

The results with six months miles can be quite amazing.

Option 3: Inman Aligner

Inman alignerThe Inman aligner offers an alternative type of orthodontic brace. Both of the options above are fixed orthodontics, the Inman aligner is a removable option. This has the advantage of being able to use different forces in the way of springs to move your teeth.

As you can see in this image these braces push and pull your teeth at the same time, working from inside your mouth and outside in unison with one another. This unique way of using braces means we can achieve a straighter smile in approximately 12 to 16 weeks, much faster than any other orthodontic system.

You would need to ensure that the where these braces for a minimum of 20 hours per day, removing them only to eat and clean your teeth. This means your commitment to wearing braces needs to be high with you strongly motivated to achieve your straighter smile.

Once again, the Inman aligner is only used for the front six teeth to straighten them out providing you with an easier to clean smile.

Option 4: Clear Braces

Clear bracesThese braces, once again, do exactly what they say on the tin, they are clear! These clear braces work by applying a small amount of pressure to your teeth in the direction required to move them. Once this small amount of movement has been achieved you will replace the removable clear brace with a new one. Typically replacing each race every two weeks.

Treatment times are approximately one year with this system, depending upon how much your teeth need to move. Once again we are normally only moving the front six teeth into a straighter alignment to achieve a more cosmetic result which is easier to keep clean.

As with the Inman aligner you will need to wear your clear braces for approximately 20 hours per day, only removing them to eat and clean your teeth. You can even continue to wear them in full view of the public, perhaps whilst teaching or giving a presentation, nobody else will ever know!

How to get orthodontic braces

We recommend that you do some research online before deciding which dentist to go to to have orthodontics. The systems described above require that your dentist is certified to use them, we suggest you ask to see this certification at your initial consultation. Many dentists offer an initial consultation either at a discounted rate or for free, do spend some time looking at their website to see if this is on offer at the dental practice local to you.

We also recommend that you ask the dentist for a series of reviews of their practice, this will leave you with peace of mind knowing that you have found a practice that other people like.

A good dentist should also have a range of before and after photographs to show you, please ask to see them when you go for your initial consultation. The photographs should be presented nicely and you should clearly be able to see the difference between the before treatment and after treatment photographs. Seeing these images allows you to know that the dentist you have found can actually do what they say they can and achieve the results that you want. Most dentists will have a range of photographs, so asked to see photographs which are similar to your own situation.

If you live in the Harrow HA1 area of Middlesex Then why not pop in to see us on the Watford Road. We are a modern dental practice offering a range of orthodontic braces to help you achieve a straighter and healthier smile… And we also offer a free consultation to anyone considering braces, please click here to download a voucher entitling you to this free assessment.

Have your teeth become crooked again after having braces when you were younger?

 European Society aesthetic orthodonticsOne of the most common reasons for patients visiting the dentist for teeth straightening is relapse after having orthodontics when they were younger. Patients often find that once they stop wearing their retainers that their teeth can begin to move back to where they were before. Coupled with the fact that as we get older our teeth have a tendency to drift forwards and become more overcrowded.
So if you find that your teeth are becoming more crooked again, after having orthodontics as a child, then you are not alone.

So what is the solution?

The European Society of Aesthetic Orthodontics (ESAO) recognises the need for a variety of orthodontic treatments of this nature and ensures that its members provide a qualified, informed choice for patients when considering this type of treatment, Dr Nishan Dixit is pleased to be a member of the ESAO and can offer you a wide range of orthodontic options from his dental practice in Harrow.
Teeth-straightening  can be a relatively simple, speedy and painless option if you have crooked teeth, so let’s look at what those options are:

Rapid Tooth Straightening

Within this category of orthodontics fall 3 particular treatments:
  • Six Month Smiles
  • Inman Aligner
  • CFast

Six Month Smiles

Faith Hill has adult orthodontic bracesAs the name suggests Six Month Smiles offers orthodontics which take, on average, six months to achieve the new look. The system is fixed using tooth coloured wires and brackets to ensure that no one else knows that you have braces fitted. As with most of these aesthetic orthodontic options Six Month Smiles is only used to straighten the front six teeth, often known as the social six.

Inman Aligner

This is a removable appliance, which utilises a revolutionary spring design which both pushes and pulls at the same time depending on where we want teeth to move. The brace can only move your front six teeth by gently  de-rotating them and then realigning them. Unlike six month smiles you can take out an Inman Aligner, you need to resist this temptation as much as possible and ensure that you wear your aligner for around 20 hours per day, simply removing it to eat, drink and clean your teeth.
One of the big advantages with the Inman Aligner is due to the revolutionary technology in the springs which  enable it to move your teeth very quickly, often in around 12 weeks. If you have a short period of time to have your teeth straightened then the Inman Aligner could be your ideal option.

Cfast

This technique is similar to 6 month smiles in that it utilises fixed orthodontics to move your teeth into their new positions. The system also utilises almost invisible orthodontics with clear braces in some instances. This makes Cfast one of the most versatile orthodontic systems around meaning you get the best teeth, straightening result with the minimum amount of hassle.

Almost Invisible Tooth Straightening

Clear Aligners

Clear Aligners - invisible bracesClear Aligners are exactly that, completely clear. They work by moving your teeth a small amount at a time. You will be provided with a series of aligners which you will typically wear for about two weeks each. Each aligner puts a small amount of pressure on your teeth to move them or rotate them to their new position. Once your teeth have moved a tiny amount you will replace the aligner with the next one in the series.
The art with using clear aligners is for  your dentist to choose exactly the right amount aligners for your particular case to ensure that your teeth move gently into their new positions.
Many people like clear aligners as they are virtually invisible to the naked eye, this means that if you have a high profile job or are in the public eye you can have straighter teeth with no one else knowing!

In Summary

Adult Orthodontics are one of the most popular cosmetic treatments requested by patients in many dental practices around the UK, and certainly, this is the case at our practice in Harrow, Middlesex. By offering you a range of treatments and being members of the ESAO you can be sure that you are offered something which fits not only your budget but your exact dental requirements.
We strongly recommend that you keep an open mind with regards to treatment, the descriptions listed above are relatively simple and there are additional requirements for each of them to be used. It may be that your dental situation is more suited to one system than another. So going to your dentist with an open mind allows you to be free to choose the best option to you.
Blue Court Dental Centre offer a free consultation, with our treatment co-ordinator, for anyone wishing to find out more about aesthetic orthodontics for teeth that have moved after having braces as children. Simply complete the download here to request your appointment.
 
Dr Nishan Dixit
Latest posts by Dr Nishan Dixit (see all)

Can my crooked front teeth be straightened ?

   

This lady from Harrow wanted to improve the appearance of her crooked teeth by having them straightened quickly and effectively.  She had braces when she was young, but as time went on, her teeth started to shift causing her front teeth to become crooked.  She did not want to have fixed braces again or to be treated by a specialist. She preferred the convenience and speed of the Inman Aligner appliance.

The Inman Aligner is a removable brace which applies gentle pressure to the front teeth that need to be moved.  This gentle process is provided by the spring action of the appliance.

 

Within nine weeks, the teeth were gently guided to an ideal position that the patient was happy with.  To maintain the teeth in place, a permanent bonded retainer was glued to the inside surface of the upper teeth.

  

The patient was delighted with the results.  It allowed her to achieve great results using just one appliance, in a short space of time.

X-Factor Winner James Arthur’s Teeth

X factor winner James Arthur's teeth

As the X-Factor competition comes to a close once more the interest in each of the contestants rises, and with that comes the pressure for them to look like a superstar.

And this year James Arthur is no different!

When Cheryl Cole one the talent show a few years ago when she joined girls aloud she also had dentistry to enhance her smile, and many people are aware that Tulisa, one of the judges on X factor also had cosmetic dentistry.

Of course it is down to James Arthur’s dentist to decide exactly what type of treatment is suitable for him, and it is not for us to make that decision however we can make some suggestions based on the photographs.

The purpose of doing this is so that you can see the similarities between your own situation and James’ situation so that you can decide which type of treatment might be right for you.

Overlapping teeth.

As you can see James is teeth overlap quite considerably, especially the front tooth (known as the central) to the left of the photograph. This has the effect of making the next tooth along (known as the lateral) to look darker. This effect is simply caused by the shadowing of the rotated central. When this happens it is sometimes possible to use orthodontics to straighten the teeth out, and the systems commonly used are as follows.

Clear Braces.

These are almost invisible braces and are typically worn for around 12 months. Every two weeks or so you will wear a new clear aligner to align your teeth to the new position. You will be prescribed a series of aligners, each of which move your teeth a small amount towards their final position. From what we know this was the type of brace that Cheryl Cole had to move her teeth.

Inman aligner.

The Inman aligner is a new form of rapid orthodontics. The appliance is removable and works on the principle of pushing and pulling your teeth at the same time in the direction required. Sometimes the final result can be achieved in around 12 weeks, which is much faster than any of the other orthodontic systems around.

More information on the Inman aligner

Six month smiles.

This is one of the most modern systems and involves the use of fixed ceramic brackets. Because Six Month Smiles is a fixed orthodontic the results can often be achieved faster than with removable orthodontics, typically within six months. This type of orthodontic brace has also been worn by many celebrities including Tom Cruise and Faith Hill.

More information on six month smiles

Instant veneers.

Moving crooked teeth to the new position is generally the preferred option as you maintain your natural teeth. In some instances this may not be possible, or indeed the client may require a more rapid alternative. If you look at James Arthurs lateral on the left-hand side of the photograph (his right hand side) this tooth is set back. It might be possible in this instance to add some instant veneer bonding material to the lateral to to build it out somewhat.

The disadvantage with this technique is that there will always be this bonding material on the outside of your tooth, this does have a tendency overtime to discolour so regular appointments at the dentist will be required to ensure the tooth stays nice and white.

Ceramic dental veneers.

These are used in exactly the same way as instant veneers, however the results are not as instant (typically taking three weeks) however the advantage is that ceramic veneers will not stain the same way that instant veneers may. The this advantage with ceramic veneers is the slight possibility that they could chip, so you need to be aware if you are wearing veneers that chipping is a possibility – although highly unlikely with modern materials.

More information on ceramic dental veneers.

As James Arthur increases in popularity and his photographs are used more around the Internet it will be interesting to see which type of treatment he opts for. Which ever treatment James decides is best Blue Court Dental Centre in Harrow, Middlesex sincerely wish him all the very best with his new smile and new career.

Adult Braces Reviews

Before starting any form of orthodontics, or indeed any treatment within dentistry at a new dentist, we recommend that you review some of the treatments and cases undertaken by your chosen dentist. To help you undertake this review we’ve written this blog post which takes a look at a range of orthodontic options so that you can best make your own decision about which one is right for you.

Of course it is not possible to make a diagnosis online, so in every case you will need to visit a reputable dentist who is suitably trained in adult orthodontics who can then make the best decision for you, dependent upon your tooth position.

A few years ago braces were only prescribed for children, however with modern advances in technology adult braces have become more popular.

Train track braces may be on their way out for adults

train track bracesAs more and more adults decide to have braces, it is becoming increasingly important for dentists to recognise the fact that many adults do not want to wear train track braces which are obvious and stand out. Due to this there have been a range of treatments for adults which overcome this problem by using either clear braces or tooth coloured braces.

 

 Tooth coloured braces for adults

One of the big advantages of fixed orthodontics, such as you see with the metal train track braces, is their overall ability to move teeth faster than other forms of orthodontics. When this general principle is combined with a brand new design of orthodontic bracket, a whole new system is born – and that system is Six Month Smiles.

By combining a unique tooth coloured bracket with conventional fixed orthodontics it is now possible to provide braces for adults in the local Harrow area. Notice the before photograph below, this patient did not like the gap between had to front teeth, and so by using tooth coloured braces it was possible to realign her smile and close up this space.

The problem with having gaps between teeth is that the gaps can often look black, this is a common problem which many patients mentioned to us. Six Month Smiles is a great way to move teeth and overcome this particular dental problem with misaligned or crooked teeth.

six month smiles adult braces

Clear or Invisible Adult Braces

Clear Braces invisible adult braces

Another way to have adult orthodontics or braces is to go for one of the almost invisible options. Rather than being fixed to the teeth permanently, this type of braces is removable. It works by applying pressure to the teeth in the direction that we want to move it, once the tooth has moved into the new position the clear brace becomes loose and does not work any more.

We then simply supply you with a new brace which continues to put pressure on to the tooth. You wear a succession of clear adult braces until your teeth have moved to their final position.

Take a look at the following cases, this patient was clearly not happy with the alignment of their lower front teeth.

before clear braces
before clear braces

You can see that after treatment with clear adult braces the teeth are now in a nice arch line and any crooked or mis-alignment has been corrected using Clear Braces braces.

after clear braces
after clear braces

 Almost invisible adult braces

 

You can see that after treatment with clear adult braces the teeth are now in a nice arch line and any crooked or mis-alignment has been corrected using Clear Braces braces.

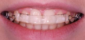
The next option for adults who need to wear braces is what is commonly known as almost invisible. In this instance we are talking specifically about the Inman aligner which is a removable appliance. The orthodontic brace has metal springs which are visible towards the back of the mouth, however towards the front of the mouth the part of the brace that is normally seen is actually clear.

wearing the inman aligner adult brace

The Inman Aligner adult brace is also a a modern invention utilising a revolutionary concept. This brace works by a combination of pushing and pulling at the same time which makes for rapid movement of the teeth. Treatment can be as little as 12 to 16 weeks, which is generally much faster than any other adult orthodontic system. This adult brace is however only suitable for moving the front teeth into a more aesthetic and generally pleasing position. It cannot be used for more severe crooked or rotated teeth.

Summary of our adult braces review

As you can see there is no right or wrong adult brace, it depends upon the severity of your crooked teeth which need straightening. It also depends upon whether you want invisible braces which may take a little longer to move your teeth, or one of the less invisible options such as the Inman aligner or Six Month Smiles.

Blue Court Dental Centre is a local dentist in Harrow offering adult braces for the local people. We also offer a free orthodontic consultation for people interested in this form of treatment.

Rapid Tooth Movement with the Inman Aligner

We’ve found the Inman Aligner to be a revolutionary new way to straighten teeth.

So if you are unhappy with your smile with crooked or uneven teeth and want the fastest result then the Inman Aligner is for you. Here’s a little video that shows some results:

Click to watch on Youtube
We love the Inman Aligner because its:

  1. Rapid, in around 10-18 weeks it can straighten your front teeth.
  2. Removable, you need to wear the aligner for 20 hours a day, but can remove it for eating and important social occasions.
  3. Comfortable, the Inman Aligner uses a revolutionary new way to gently pull and push at the same time with minimal discomfort.

The aligner works by an innovative mechanism which pushes and pulls your teeth at the same time

The Inman Aligner isn’t suitable for moving back teeth, or for moving teeth great distances however for general orthodontics on the front teeth it is often ideal and provides a rapid orthodontic solution

Length of Treatment

Inman Aligner treatment typically takes 10-18 weeks. Simple cases can complete in a little over 1 month and more complex cases might take 4 months or so.

We’ll will give you a realistic guide of what to expect. Normally lower front teeth move a little faster than uppers.

However, because the Inman Aligner is so highly efficient, when a case is suitable, it works much faster than alternative orthodontics techniques. This is what makes it so revolutionary and moves the Inman Aligner into the realms of cutting edge Cosmetic Dentistry.

To help you we’ve written a free guide to orthodontics, you can download your free copy here or complete the form below.


Dr Nishan Dixit

Discover the options, costs and alternatives for a straighter more confident smile.

Download my complete guide to Orthodontics today!

Dr Nishan Dixit  BDS (Lond) 1994 ,LDS RCS (ENG) 1994 GDC Reg No. 70208