Tag: white fillings
Dental Blog posts, information and advice which mention White fillings
What alternatives are there to amalgam fillings?
One of the things most dental practices want to do is to offer you alternatives to treatments, having a dental filling is no exception. There are a wide range of options when it comes to treating tooth decay with a dental filling and in this blog post, our Harrow dentist, Dr Nishan Dixit discusses what alternatives there are to the classic silver amalgam filling.
Types of dental fillings in the UK
There are a variety of materials that can be used for a dental filling, each is selected depending upon the material properties, what the material needs to do and your clinical situation. Those materials include:
- Amalgam (silver coloured fillings).
- Composite (white fillings).
- Porcelain ( white fillings).
- Gold.
Amalgam Filling Alternatives
There are a few alternatives to amalgam fillings, these typically include restorative materials such as glass ionomer white fillings, composite white fillings, porcelain white fillings and even gold fillings although these are not used very often nowadays.
Amalgam fillings
Amalgam fillings are still commonly used in the UK, particularly in NHS dental practices. The material is relatively cheap, easy to work with and durable. Amalgam silver fillings contain a mixture of silver, tin and copper which is bound together with mercury.
Mercury poisoning is a concern of many people with amalgam fillings. The most risky time for release of free mercury is during placement and/or removal of an amalgam filling, this is due to release of mercury vapour. Having an amalgam filling removed can potentially release more mercury than leaving it in place.
Several studies have shown that the amount of mercury released from fillings is extremely low, especially when left in place. However, due to their typically unsightly nature and potential to release mercury many patients are preferring to opt for a more cosmetic option.
Another problem with amalgam fillings is that you can get what is known as an amalgam tattoo. This is where the dark silver colour from the amalgam shows through the front surface of the tooth creating a dark effect around the gum making it look like it has a tattoo.
Composite fillings
These are one of the most commonly used alternatives to mercury fillings. Composite fillings are mercury free and are often a blend of fine ceramic particles mixed with a composite material which sets when a special light is shone on it. The composite comes in a variety of tooth coloured shades so your dentist can select the right one for you. Composite fillings may wear faster than your natural teeth so you may need to have them replaced a little more often.
Amalgam fillings versus composite*
Property |
Amalgam |
Composite |
|---|---|---|
| Wear (1 highest 5 lowest) | 3 | 4 |
| Fracture resistance (1 worst 5 best) | 3 | 4 |
| Cost (1 expensive 5 cheaper) | 4 | 2 |
| Loss of tooth structure (1 least 5 most) | 4 | 2 |
| Health concerns (1 unhealthy 5 healthiest) | 1 | 4 |
How long do white fillings last?
White fillings typically last up to 10 years. Data shows that after five years approximately 75% of fillings remain. This has reduced to 50% after nine years. This is based upon research undertaken in 2001.
Can you have White fillings on front teeth?
Yes, white fillings on front teeth are often called dental bonding. They can either simply replace a small decayed area or cover the whole of the front of the tooth. They can also be used to add to teeth to make the teeth longer, if worn down, or to change the shape of a tooth.
Are there any side effects from white fillings?
Unlike amalgam where people are concerned about the side-effects from mercury, white fillings have a few inherent side-effects related specifically to the material used. Any side effects from a white filling are common to all types of filling and include:
- Numbing of the area due to the anaesthetic used.
- Sensitivity of the tooth for a few days afterwards.
How long after a filling can I eat
This depends upon the type of filling you have had, amalgam takes approximately 24 hours to harden completely, during this time you should eat softer foods and avoid anything sticky. The white filling is set and made completely hard by curing the composite with a light in the dental surgery. This theoretically means that you can eat straightaway after a white filling.
We do however recommend caution as you probably will have had an anaesthetic to numb the area whilst the filling was placed. It is better to wait until the anaesthetic subsides before eating as you should be careful of biting your cheek and tongue as these area are still numb.
*Subjective data based on experience. Individual properties may vary depending upon the size, position and age of the restorations including the skill of the dentist that placed the original restoration.
- Dr Dixit is the new President of British Academy of Cosmetic Dentistry - 28 May 2020
- Does Invisalign hurt? - 9 March 2020
- How Long Does Invisalign Take? - 27 February 2020
My Sweet Treats

This young gentleman came to us when he started noticing something very odd about his tooth. It appeared to be changing colour. It started off as a greyish shadow, and as months went by, it became darker and more obvious. A large groove had developed and every time the patient laughed or smiled, he would raise his hands to cover his mouth (picture 1). For a very sociable young man, his confidence had started to drop.
After a consultation between the patient and Dr Dixit, it was found that the patient had a high sugar diet consisting of fizzy drinks, cakes and biscuits. The frequency of the sugary foods and the inability to clean affectively caused his tooth to decay close to the gum margin. To restore this badly decayed tooth, the decay was cleaned out (picture 2) and replaced with a composite tooth coloured filling material (picture 3) .

The filling material blended in with the patients existing tooth colour. The patient was very pleased with the result. His confidence had been regained and he no longer covered his mouth when he laughed. He felt very proud and happy to show off his natural looking new tooth.
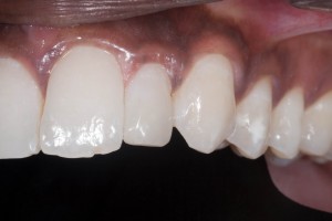
Changing old fillings

This lady had decay under an old silver filling, causing the edge to appear very grey in colour. The decay was so extensive, that it had extended towards the middle of the tooth. Before removing the silver filling and surrounding decay, the tooth and mouth was protected by placing a green rubber dam around it. Once the tooth was free from decay, it was filled with the latest tooth coloured (composite) filling material. The material that we used was chosen because it has high aesthetic results through excellent colour adaptation and polishability.

The patient was delighted with the result. The greyness around the edge had gone and there was no more unsightly black filling.
Composite Bonding to change a funny shaped tooth

This young lady did not like the shape and appearance of her peg tooth, as it was very visible when she smiled . She was going away and wanted something done as quickly as possible.
We decided to do some composite bonding, as this was the quickest and least destructive option to achieve the desired effect.
A tooth coloured composite material was used to change the shape and appearance of her tooth and the colour was matched to make her new tooth look as natural as possible. She is now able to smile with confidence.

The patient was very happy with her new tooth.
Mercury Amalgam Removal
A routine treatment for dental decay is to use fill the area with an amalgam filling. But what is decay?
Using higher magnification and powerful lighting, it is easier to detect decay at an early stage to prevent excessive tooth damage. When cavities are small, they are much easier and less expensive to treat.
Early tooth decay does not tend to show many physical signs. Sometimes the tooth looks healthy, but we may be able to see from an x-ray whether you have any decay under the enamel, any possible infections in the roots, or any bone loss around the tooth.
If the decay is not too serious, our cosmetic dentist will remove all the decay and restore the tooth with a white (tooth coloured) filling.
We can also safely replace silver amalgam fillings with white tooth coloured fillings. Here’s a video that shows this process and the possible results:
